DENTA FILM – Laborator de radiografie dentara Cluj-Napoca, Radiologie dentara, CBCT
Vedere de ansamblu
Denta Film, cabinet de radiologie dentară digitală, oferă soluții eficiente, într-un timp scurt, la un nivel minim de radiații. În cadrul acestui cabinet, pacienții pot beneficia de: radiografie digitală retroalveolară, radiografie digitală panoramică sau ortopantomografia, teleradiografie (cefalometrie), tomografie computerizată CBCT.
Cabinetul de radiologie Denta Film, situat în Cluj-Napoca, efectuează radiografii digitale 3D, radiografii cu imprimare laser de ultimă generație, oferind avantajul radiațiilor minime (cu 90% mai puţine radiatii decât în cazul unei radiografii clasice).
Cu o experiență de peste 18 ani în domeniul radiografiilor dentare, echipa Denta Film îți oferă garanția unor servicii stomatologice de calitate. Cabinetul are în componență o echipă cu înaltă pregătire profesională și dispune de dotări moderne, precum computerul tomograf.

Cabinetul Denta Film redă frumusețea zâmbetului!
CBCT-ul (computer tomograf cu fascicul conic):
- Permite vizualizarea, în plan tridimensional, a zonelor scanate;
- Întreaga procedură este de scurtă durată, iar gradul de expunere la radiații, în acest caz, este echivalentul unui status dentar complet RX;
- Tehnologia CBCT este considerată, în prezent, printre cele mai versatile instrumente de investigații medicale.
Pentru radiografiile şi CBCT-ul oferit pe CD, pacienții vor primi inclusiv software-ul specializat pentru vizualizare, editare, măsurare şi analiză a imaginilor 2D şi 3D. Echipa DENTA FILM oferă servicii calitative și profesioniste la prețuri avantajoase.
Servicii medicale Denta Film – Laborator de radiografie dentară
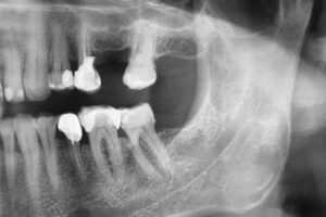
| Radiografia digitală retroalveolară | Radiografia cefalometrică – teleradiografia |
|
|
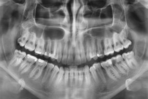
| Radiografia digitală panoramică (opt) | Tomografia Computerizată CBCT – CT 3D |
|
|
Date de contact: DENTA FILM
- Telefon: 0264 447 001; 0749 054 969
- Cartier: Mărăști
- Orar:
- Luni – Vineri: 08:00 – 21:00
- Sâmbătă: 08:00 – 14:00
- Adresa email: contact@dentafilm.ro
- Adresa WEB: www.dentafilm.ro
Cabinetul de radiologie dentara Cluj-Napoca, este listat si in editia tiparita a
Hartă
Vizitat 10823 ori, 7 Vizite astăzi
Postat în Cabinete Stomatologice, MEDICINAșiRadiologie Dentara
Tagged In radiografii dentare cluj pret
O Recenzie
Related Listings
Denta Film, cabinet de radiologie dentară digitală, oferă soluții eficiente, într-un timp scurt, la un nivel minim de radiații. Read more…
Postat în Cabinete Stomatologice, MEDICINAși Radiologie Dentara
Denta Film, cabinet de radiologie dentară digitală, oferă soluții eficiente, într-un timp scurt, la un nivel minim de radiații. Read more…
Postat în Cabinete Stomatologice, MEDICINAși Radiologie Dentara
Denta Film, cabinet de radiologie dentară digitală, oferă soluții eficiente, într-un timp scurt, la un nivel minim de radiații. Read more…
Postat în Cabinete Stomatologice, MEDICINAși Radiologie Dentara



Trebuie sa recunosc ca sunt o perfecționistă și obsedată de igiena. Am călcat pragul multor Cabinete medicale însă a doua oară am evitat sa mai merg; Excepție este Denta Film care se ridica la nivelul pretențiilor mele nu numai din punct de vedere al curățeniei și igienei ci și a Serviciilor oferite. Nu ezitați sa mergeți la Denta Film dacă doriți sa fiți tratati la cele mai înalte standarde.